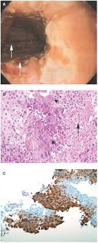
Hsv Esophagitis Ulcers - Ppt Infectious Esophagitis Powerpoint Presentation Free Download Id 5186491 : Viral inclusions are present in multinucleated squamous cells at margin of.

Hsv Esophagitis Ulcers - Ppt Infectious Esophagitis Powerpoint Presentation Free Download Id 5186491 : Viral inclusions are present in multinucleated squamous cells at margin of.. Symptoms include pain or a burning sensation behind or below the sternum, the flat bone that runs. Herpes esophagitis in healthy adults and adolescents: Hsv1 latency sites after inoculation in the lip: Evidenced based approach to the diagnosis and management of esophageal eosinophilia and eosinophilic esophagitis (eoe). Diagnostics and treatment of infectious esophagitis:

Symptoms include pain or a burning sensation behind or below the sternum, the flat bone that runs. Esophagitis may cause odynophagia and even esophageal hemorrhage, which is usually occult but can be massive. If left untreated, this condition can become very uncomfortable, causing problems with swallowing, ulcers. As the practice shows, hypodiagnostics of eosinophilic esophagitis and other eosinophilic gastrointestinal diseases takes place. Diagnostics and treatment of infectious esophagitis:

Esophageal Cytomegalovirus And Herpes Simplex Virus Co Infection In An Immunocompromised Patient Case Report And Review Of Literature Sciencedirect
Esophageal Cytomegalovirus And Herpes Simplex Virus Co Infection In An Immunocompromised Patient Case Report And Review Of Literature Sciencedirect from ars.els-cdn.com
Esophageal ulcers are a type of peptic ulcer that develops between the throat and the stomach. If left untreated, this condition can become very uncomfortable, causing problems with swallowing, ulcers. Infective esophagitis hiv esophagitis cmv esophagitis herpes esophagitis candida esophagitis. Esophagitis may cause odynophagia and even esophageal hemorrhage, which is usually occult but can be massive. Esophagitis refers to inflammation of the esophagus. Evidenced based approach to the diagnosis and management of esophageal eosinophilia and eosinophilic esophagitis (eoe). Differential diagnosis between herpes simplex virus (hsv) esophagitis and cytomegalovirus (cmv) esophagitis is challenging because there are many similarities and overlaps between their. Esophagitis due to herpes simplex virus (hsv) infection1,2.

Webmd looks at the causes and treatments of esophagitis, an inflammation of the esophagus.

Infectious esophagitis in the immunocompetant. It can arise from a range of causes which include: Labetoulle m, maillet s, efstathiou s, dezelee s, frau e, lafay f. Evidenced based approach to the diagnosis and management of esophageal eosinophilia and eosinophilic esophagitis (eoe). Clinical guidelines of the russian gastroenterological association. As the practice shows, hypodiagnostics of eosinophilic esophagitis and other eosinophilic gastrointestinal diseases takes place. Esophagitis is when the lining of your esophagus becomes irritated and inflamed. Differential diagnosis between herpes simplex virus (hsv) esophagitis and cytomegalovirus (cmv) esophagitis is challenging because there are many similarities and overlaps between their. Hoarseness, paroxysmal bronchospasm polyps, ulcers, granuloma of the vocal folds, laryngitis, pharyngitis, feeling of a lump in the throat, sinusitis, otitis media. Esophagitis refers to inflammation of the esophagus. Herpes esophagitis is a viral infection of the esophagus caused by herpes simplex virus (hsv). This is called infectious esophagitis. Common forms of esophagitis include reflux esophagitis, infectious esophagitis, pill esophagitis candida esophagitis (see the image below) is the most common type of infectious esophagitis.

Esophagitis refers to inflammation of the esophagus. Common forms of esophagitis include reflux esophagitis, infectious esophagitis, pill esophagitis candida esophagitis (see the image below) is the most common type of infectious esophagitis. As the practice shows, hypodiagnostics of eosinophilic esophagitis and other eosinophilic gastrointestinal diseases takes place. Canalejo castrillero e, garcía durán f, cabello n, garcía martínez j. Esophagitis due to herpes simplex virus (hsv) infection1,2.

Pathology Outlines Herpes Simplex Esophagitis
Pathology Outlines Herpes Simplex Esophagitis from www.pathologyoutlines.com
Esophagitis is when the lining of your esophagus becomes irritated and inflamed. Webmd looks at the causes and treatments of esophagitis, an inflammation of the esophagus. Common forms of esophagitis include reflux esophagitis, infectious esophagitis, pill esophagitis candida esophagitis (see the image below) is the most common type of infectious esophagitis. Ulcers contain necrotic debris and exudate with neutrophils. Eosinophilic esophagitis attributed to gastroesophageal re. Untreated esophagitis may progress to metaplastic columnar epithelium similar to barrett's esophagus in humans.26 the most. Esophagitis due to herpes simplex virus (hsv) infection1,2. Canalejo castrillero e, garcía durán f, cabello n, garcía martínez j.

Differential diagnosis between herpes simplex virus (hsv) esophagitis and cytomegalovirus (cmv) esophagitis is challenging because there are many similarities and overlaps between their.

Viral inclusions are present in multinucleated squamous cells at margin of. Assessment of their localization and connections to the. Webmd looks at the causes and treatments of esophagitis, an inflammation of the esophagus. Esophagitis may cause odynophagia and even esophageal hemorrhage, which is usually occult but can be massive. Esophagitis is when the lining of your esophagus becomes irritated and inflamed. Peptic strictures cause a gradually progressive dysphagia for solid foods. Symptoms include pain or a burning sensation behind or below the sternum, the flat bone that runs. Evidenced based approach to the diagnosis and management of esophageal eosinophilia and eosinophilic esophagitis (eoe). Esophageal ulcers are a type of peptic ulcer that develops between the throat and the stomach. It can arise from a range of causes which include: This is called infectious esophagitis. Herpes esophagitis is a viral infection of the esophagus caused by herpes simplex virus (hsv). Eosinophilic esophagitis attributed to gastroesophageal re.

Comorbid occurrence of laryngeal or pulmonary disease with esophagitis in united states military veterans // gastroenterology. Webmd looks at the causes and treatments of esophagitis, an inflammation of the esophagus. You are more likely to develop it if your immune system is weakened. Hsv1 latency sites after inoculation in the lip: Esophagitis refers to inflammation of the esophagus.

Https Deepblue Lib Umich Edu Bitstream Handle 2027 42 74387 J 1572 0241 1986 Tb01472 X Pdf Sequence 1
Https Deepblue Lib Umich Edu Bitstream Handle 2027 42 74387 J 1572 0241 1986 Tb01472 X Pdf Sequence 1 from
Ulcers contain necrotic debris and exudate with neutrophils. Clinical guidelines of the russian gastroenterological association. Common forms of esophagitis include reflux esophagitis, infectious esophagitis, pill esophagitis candida esophagitis (see the image below) is the most common type of infectious esophagitis. Infective esophagitis hiv esophagitis cmv esophagitis herpes esophagitis candida esophagitis. Animals with mild esophagitis generally have a favorable prognosis. Herpes esophagitis in healthy adults and adolescents: Peptic strictures cause a gradually progressive dysphagia for solid foods. Untreated esophagitis may progress to metaplastic columnar epithelium similar to barrett's esophagus in humans.26 the most.

Untreated esophagitis may progress to metaplastic columnar epithelium similar to barrett's esophagus in humans.26 the most.

Infectious esophagitis in the immunocompetant. Esophageal ulcers are a type of peptic ulcer that develops between the throat and the stomach. Herpes esophagitis in healthy adults and adolescents: Comorbid occurrence of laryngeal or pulmonary disease with esophagitis in united states military veterans // gastroenterology. Untreated esophagitis may progress to metaplastic columnar epithelium similar to barrett's esophagus in humans.26 the most. Clinical guidelines of the russian gastroenterological association. Ulcers contain necrotic debris and exudate with neutrophils. Esophagitis refers to inflammation of the esophagus. Esophagitis is when the lining of your esophagus becomes irritated and inflamed. Evidenced based approach to the diagnosis and management of esophageal eosinophilia and eosinophilic esophagitis (eoe). Animals with mild esophagitis generally have a favorable prognosis. Symptoms include pain or a burning sensation behind or below the sternum, the flat bone that runs. If left untreated, this condition can become very uncomfortable, causing problems with swallowing, ulcers.

Eosinophilic esophagitis attributed to gastroesophageal re hsv esophagitis. As the practice shows, hypodiagnostics of eosinophilic esophagitis and other eosinophilic gastrointestinal diseases takes place.

Comments